COMFORT celebrates International Day of Radiology 2025
COMFORT celebrates International Day of Radiology 2025 with three different campaigns:
Exploring the Core Imaging Techniques in Radiology
Radiology plays a central role in modern medicine, bringing together a wide range of imaging techniques that allow clinicians to look inside the human body in a safe and increasingly precise way. From routine examinations to complex diagnostics, radiological imaging supports doctors in detecting disease, planning treatments, and monitoring patient progress.
Over the years, radiology has evolved into a highly diverse field, encompassing multiple imaging modalities—each designed to answer specific clinical questions. Understanding how these methods work and when they are used helps shed light on the vital contribution radiology makes to patient care.
Download the guide to find out more about each method:
Behind the Scenes at our Radiology departments
What you can see below in the images is our colleague Felix Busch analysing a saddle pulmonary embolism (PE) on a CT pulmonary angiography (CTPA).
Today, a 74-year-old patient arrived with sudden dyspnea, syncope, and chest pressure 11 days after knee surgery. CTPA shows a central “riding/saddle” thrombus (white arrows) straddling the bifurcation of the main pulmonary artery with extension into both main branches. Secondary signs of strain can include: RV/LV ratio (right ventricular (RV) to left ventricular (LV) ratio) > 1, septal bowing toward the LV, and mild reflux of contrast into the IVC (inferior vena cava).
.jpg)
Current advancements in the field: Artificial Intelligence
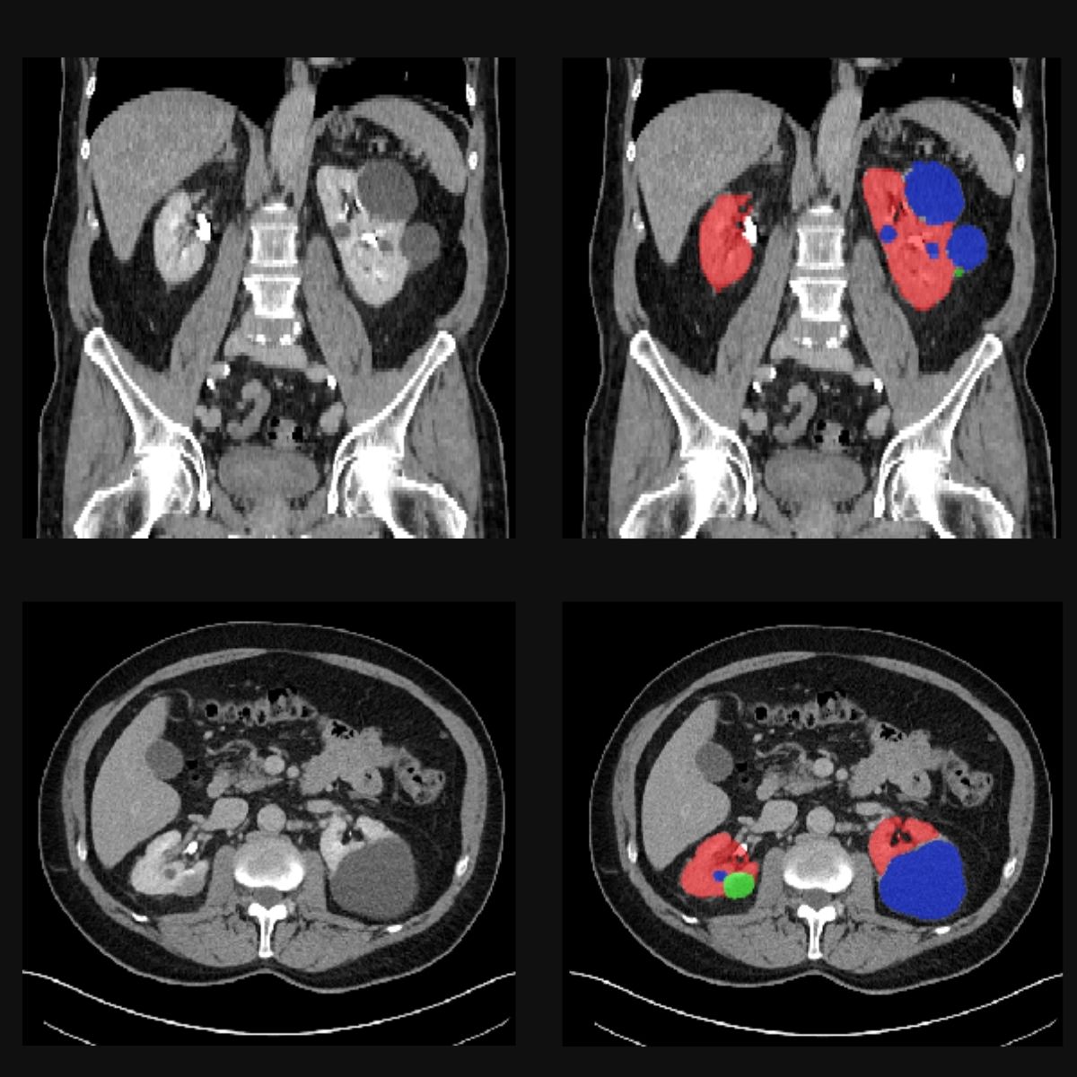
Our goal in COMFORT is to teach AI models to recognise tumours and other abnormalities to make diagnosis faster and more accurate. To this end, our experts manually annotate medical images from CT or MRI scans. This means they mannually outline the organs, in our case the kidneys and the prostates, and abnormalities such as cysts or tumours. By showing the AI model hundreds of annotated images, it eventually learns to generalise its knowledge to new images and recognise organs and tumours by itself.
In the images below you can see such scans: the red areas are the kidneys, green ones are turmours and blue ones are cysts.
Starting next year, we’ll test the model in a prospective study with data from real patients. The AI will work silently in the background, not influencing the diagnosis of patients. However, this will allow our team, to later compare the results of our model, with that of doctors, and assess how transparent AI might support clinical decisions in the future.
.jpg)